Our Services

Periodontal Care
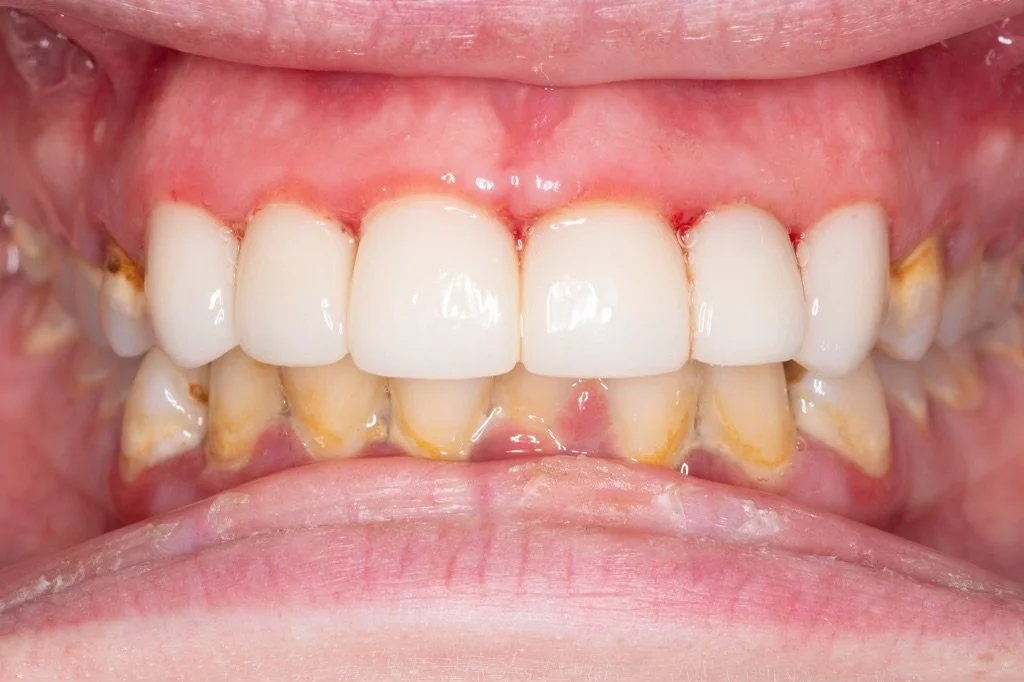
Periodontal disease is the result of infection and inflammation of the gums and bone that surround and support the teeth. If left untreated, periodontal disease can lead to serious infections or abscesses, tooth mobility and eventually tooth loss. Periodontal disease can cause bad breath or taste; red, swollen, tender and bleeding gums; pain when chewing food; loose teeth due bone loss; and sensitivity. We know there is a direct systemic link between the oral cavity and the rest of your body. Untreated periodontal disease can affect things like diabetes, heart and lung health, and can lead to more serious things like strokes and cancer. We offer periodontal therapy to treat this condition and keep it under control.
For more warning signs and risk factors of periodontal disease.
Preventative Care
Our preventative care services include cleanings, exams, fluoride varnishes and sealants. We are passionate that prevention is the foundation for optimal oral health. We suggest you see a dentist every six months to ensure there are no developing issues such as decay, disease, abnormalities, or oral cancer. Regular exams ensure early diagnosis of irregularities and a better prognosis and outcome of treatment.
Tooth Replacement
Some options for tooth replacement that are removable include dentures. There are two primary types of dentures which are complete or partial dentures. Complete dentures are used when all teeth are missing in one arch, and partial dentures are used when there are some teeth still remaining in the arch being replaced.
Restorative Dentistry
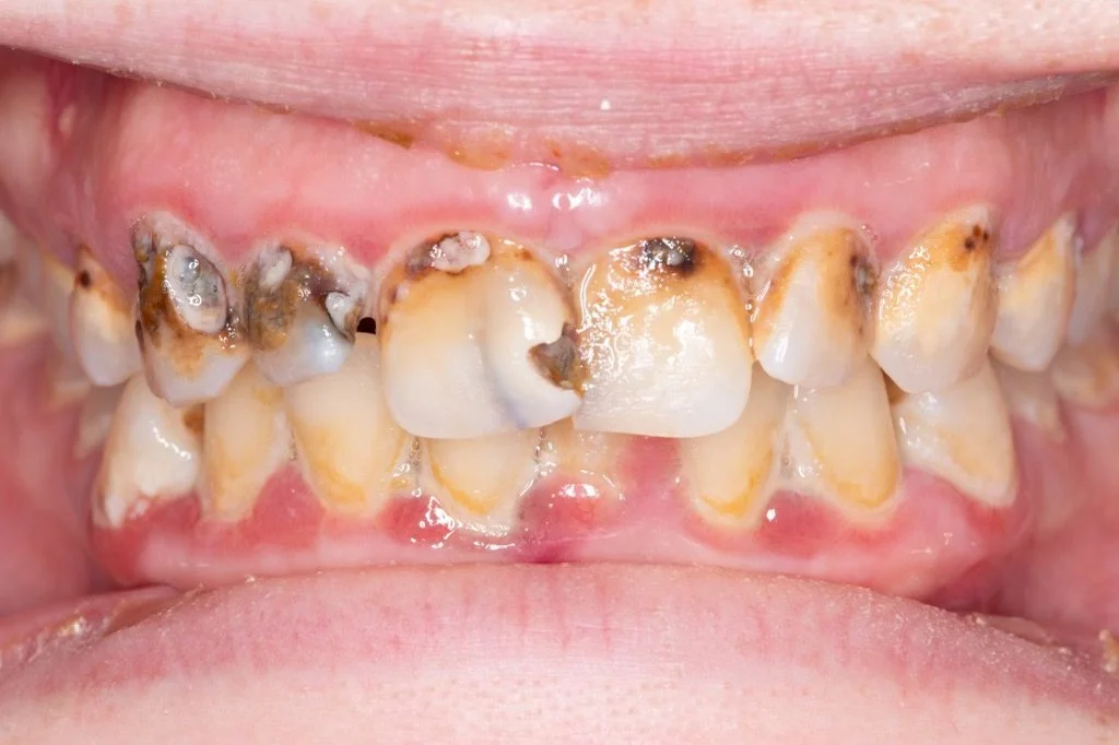
Restorative dentistry includes dental fillings and either partial or full coverage crowns. When decay is noticed either clinically or on a radiograph, on a tooth or under an existing restoration, the decay needs to be removed as soon as possible to prevent it from growing larger. If decay gets too large it could lead to sensitivity, a more expensive filling, a crown, a root canal, or even tooth loss. If a tooth is cracked, has a significant amount of decay or a large portion is missing, broken or already restored, a crown may be recommended to protect the tooth from further damage.
Root Canals
We treat damaged or infected teeth through root canal therapy. This is done to repair and save the tooth instead of removing it. The treatment is performed by cleaning the nerve canals of root of the tooth to stop the pain and/or infection the patient is experiencing. Typically, after this treatment is performed a crown is necessary as the tooth is now non-vital and is more susceptible to fracture.
For more information on root canal therapy.
Oral Surgery
We always do our best to save teeth when possible, as there is nothing to perfectly take the place of your natural tooth. There are situations that deem a tooth to be non-restorable or not savable. Extensive decay, root fracture, infection, pain and impaction are just a few reasons why a patient would need to elect extraction in lieu of saving a tooth. We offer removal, either regular or surgical, of erupted teeth here in our office, and we always discuss replacement options of extracted teeth with our patients.
For more information on tooth extraction procedures and aftercare, check this out.
Cosmetic Dentistry
We offer many options to achieve cosmetic results that will change your smile to include veneers, crowns, bridges, orthodontics and whitening.
To find out more about dental veneers.
Teeth whitening
Many patients are unhappy with the color or shade of their teeth. As we age, teeth naturally darken over time. Drinking dark liquids like coffee, tea, dark sodas and red wine can cause dark staining of the teeth. Smoking and smokeless tobacco can also make your teeth appear darker than their natural shade. We offer dental strength whitening strips for a quick boost in whitening for a special event, like proms or weddings. We also offer custom made whitening trays for a more long-term whitening result.
Invisalign
Invisalign is a form of orthodontics that uses clear tray aligners to straighten teeth. Mal-aligned or crooked teeth may lead to tooth damage or wear, difficultly in being able to clean your teeth properly and jaw joint pain. Straighter teeth can not only make the smile more beautiful but can also make the mouth healthier overall. Invisalign is a discreet way to straighten your teeth without it being noticeable to everyone, since the aligners are clear. It is also a more hygienic way to straighten teeth due to the ability to take the aligners out to eat, brush and floss properly.
Take the Invisalign Smile Quiz to see if this treatment is right for you.
Before and After